Сюжеты
–
Сортировать по дате выхода42
09:34

Санаторно-курортное лечение: правда и мифы. Фрагмент
Какие процедуры действительно работают — экспертиза йодобромных ванн, их эффект, противопоказания и научные подтверждения.
34
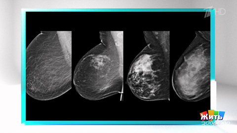
07:46

Анализ риска рака груди: что делать дальше? Фрагмент
Анализ, который предскажет риск рака груди. Кому необходимо его сдать? И что делать, если результат положительный — подробный разбор скрининга, его точности и дальнейших шагов.
45
08:41

Витамины прямо с подоконника. Фрагмент
Посадил и забыл — каждый месяц урожай зеленого лука. Простой способ получать свежую зелень и витамины без походов в магазин.
34
07:45

Причины боли в суставах, о которых вы не подозревали. Жить здорово! Фрагмент
Странно, но факт — многие источники хронической боли в суставах остаются незамеченными: от стресса до скрытых аллергий, от нарушений сна до проблем с кишечником.
58
09:04

Вертикальная мышь: спасение для рук и запястий? Жить здорово! Фрагмент
Это не гаджет для гиков — это медицинская необходимость для тех, кто много работает за компьютером. Вертикальная мышь снижает нагрузку на суставы, предотвращает туннельный синдром и усталость.
64
05:10

Сколько времени у вас в животе? Боль на девять и на три часа — что это значит? Жить здорово! Фрагмент
Боль на девять часов — правый бок — может быть признаком аппендицита. Боль на три часа — левый бок — часто связана с поджелудочной железой или кишечником. Опоясывающая боль — классический симптом острого панкреатита.
49
06:39

Россия бьет рекорды по экспорту субпродуктов: что полезнее — говядина или говяжий язык? Жить здорово! Фрагмент
Говяжий язык — не просто деликатес, а настоящий кладезь железа, витаминов группы B и цинка. Он легче усваивается, чем обычное мясо, и полезен при анемии и усталости. Говядина богаче белком и креатином — идеальна для мышц и энергии.
53
15:22

Путешествие в царство Морфея: что происходит под наркозом? Жить здорово! Фрагмент
На вопросы зрителей о наркозе отвечает анестезиолог-реаниматолог, профессор Сергей Царенко.
73
07:13

Пот все равно идет? Дезодорант или антиперспирант — что выбрать? Жить здорово! Фрагмент
Лето закончилось, а пот прошибает — как не перепутать средство и не навредить коже?
84
08:23

Тревога не решает проблем — но точно лишает сна. Жить здорово! Фрагмент
Что делать, если вы проснулись ночью и не можете заснуть снова?
182
09:43

Терпуг — рыба для здоровья: чем она лучше других? Жить здорово! Фрагмент
Терпуг. Почему эту рыбу советуют есть вместо более привычных сортов — объясняют диетологи.

Познавательная передача


