
Наука, я тобой горжусь! Доброе утро. Суббота. Фрагмент выпуска от 08.02.2025
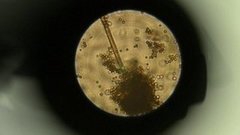
Сделать кожу невидимой… Это уже не фантастика. Профессор Саратовского государственного университета Валерий Тучин сделал! Это прорыв в науке. Клетки не становятся тоньше, не исчезают, просто пропускают больше света… и так можно увидеть мелкие детали, например, доброкачественной опухоли. Так можно на время делать стенки клеток невидимыми и прицельно вводить лекарства.
Больше о достижениях российской науке программе «Доброе утро» рассказали член-корреспондент РАН Валерий Тучин, заведующий лабораторией азотсодержащих соединений Института органической химии им. Н.Д. Зелинского Леонид Ферштат и руководитель направления центра ИИ Сколтеха Дмитрий Шадрин.
Смотрите также
Вместе с этим смотрят

Лазерный гений Александр Прохоров. Доброе утро. Фрагмент выпуска от 11.07.2016

Они едят пластмассу! Доброе утро. Фрагмент выпуска от 04.12.2015

Лён — всему голова. Доброе утро. Фрагмент выпуска от 02.12.2015

Что умеет лазер. Доброе утро. Фрагмент выпуска от 09.11.2016














