
Всемирный день борьбы с туберкулезом. Доброе утро. Фрагмент выпуска от 24.03.2016
Двенадцатилетний Иван учится на дому. Задания получает по интернету. В школу его не пускают. Причина — мальчик не привит. Мама против вакцинации. Нет у Вани и пробы Манту. При этом осмотр у фтизиатра Ваня прошел. Но без справки о результатах пробы манту ребенка не допускают к занятиям.
По действующему законодательству непривитого ребенка могут отстранить от занятий только в одном случае — если возникает осложнение эпидемиологической ситуации. «В соответствии с законом об образовании в РФ ничто не может ограничивать право ребенка на получение образования», — подчеркнула Ирина Трипольская, начальник отдела Департамента государственной политики в сфере общего образования Министерства образования и науки РФ. Вакцинация остается делом добровольным. Но врачи убеждены, директор челябинской школы, где не может учиться Ваня, права.
Григорий Климов, заведующий филиалом: Не допускают детей в школу не из-за пробы Манту, а из-за невозможности отвергнуть у них диагноз туберкулеза, который может протекать практически без внешних проявлений. Какая-то слабость у ребенка, потливость, вроде он чуть медленней прибавляет в весе, какой-то бледненький, утром его гладишь по голове, а подушка мокрая от пота, а на самом деле у него туберкулез.
В России каждый год заболевают 57 человек из 100 000. Хуже всего ситуация в Сибири и на Дальнем Востоке. Заразиться можно где угодно — там, где будет больной. Важно помнить — туберкулез давно перестал быть социальной болезнью. Николаю 31 год. Работал в офисе экономистом. Хорошая работа, семья, друзья и вдруг диагноз. Мужчина лечится уже полгода. Сейчас идет на поправку.
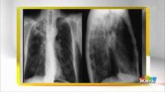
Врачи говорят, что палочку Коха — возбудителя туберкулеза — можно вдохнуть где угодно. Но вероятность заболеть после такой встречи не больше 10%. Но надеяться только на иммунитет нельзя! Раз в год нужно обязательно делать рентгеновский снимок. Другая проблема — палочка Коха очень устойчива. В мороз впадает в спячку, в почве живет до трех лет, в пыли — сколько угодно. Бактерию находят у египетских мумий и даже лекарства ей уже не страшны. Всемирная организация здравоохранения назначила дату — к 2050 году избавить планету от туберкулеза.
Вместе с этим смотрят

Реакция Манту: что вместо? Доброе утро. Фрагмент выпуска от 30.03.2017
Туберкулез — правда и мифы. Доброе утро. Фрагмент выпуска от 24.03.2015

Диагностика туберкулеза. Диаскинтест. Здоровье. Фрагмент выпуска от 27.05.2018

Мифы и правда про туберкулез. Жить здорово! Фрагмент выпуска от 24.03.2020


